[ad_1] به گزارش دانش دوست مهرداد بائوج لاهوتی، نماینده لنگرود در مجلس دوازدهم، پافشاری کرد که حذف یارانه دهکهای ۸، ۹ و ۱۰ از…
هوش مصنوعی موجی از افراد روانپریش را بهوجود آورده است_دانش دوست
[ad_1] به گزارش دانش دوست فکر کنید با چتباتی سخن بگویید میکنید که نه تنها با محبت و دوستانه جواب…
«چشم پاندایی» چیست؟_دانش دوست
[ad_1] به گزارش دانش دوست تیرگی زیر چشم که طبق معمول تحت گفتن «چشم پاندایی» یا «چشم راکونی» شناخته میشود،…
اغاز اکران ۲ فیلم تازه از ۵ شهریور ماه_دانش دوست
[ad_1] به گزارش دانش دوست هشتمین جلسه شورای صنفی نمایش روز یکشنبه ۲۶ شهریورماه در خانه سینما برگزار و درمورد…
سقف تازه خرید و فروش املاک و ماشین در ایران_دانش دوست
[ad_1] به گزارش دانش دوست مطرح مالیات بر سوداگری و سفتهبازی (Capital Gains Tax – CGT) بعد از ۱۴ سال…
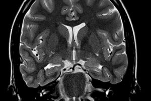
سلولهای مغزی انسان سریع تر از هوش مصنوعی یاد میگیرند_دانش دوست
[ad_1] به گزارش دانش دوست وبگاه عرب۴۸ نوشت: «این پژوهش که توسط شرکت Cortical Labs در ملبورن استرالیا هدایت شده،…
ورزش ناشتا سودمند است؟_دانش دوست
[ad_1] به گزارش دانش دوست جولی استفنسکی میگوید: «متأسفانه مطالعات انجامشده در این عرصه جامع نیستند و استاندارد بودن ورزش…
بازیگر فیلم سوپرمن درگذشت_دانش دوست
[ad_1] به گزارش دانش دوست ترنس استامپ در طول طول دوران کاریاش افتخار وجود در بیشتر از ۶۰ فیلم از…
نحوه نگهداری خودرو ۴۰۵
خودرو پژو ۴۰۵ بهعنوان یکی از محبوبترین و پراستفادهترین خودروهای خانوادگی در ایران شناخته میشود. این خودرو به دلیل…
زمان خروج از لیست سیاه FATF اشکار شد_دانش دوست
[ad_1] به گزارش دانش دوست روز قبل دو خبر مهم درمورد پرونده ایران در گروه اختصاصی عمل مالی (FATF) انتشار…









